98% успеха, бесплатная замена в течение гарантийного срока
Все виды съемного протезирования (бюгельные, нейлоновые, пластинчатые протезы)
от 10000 ₴
Все виды несъемных ортопедических конструкций(металлокерамика, керамика на каркасах из диоксида циркония, E-max прессованная керамика)
от 9000 ₴
Эстетическое протезирование(виниры, накладки)
от 13000 ₴
Протезирование на имплантах любой сложности
от 10000 ₴
*Окончательная стоимость определяется после консультации в клинике
Доступное протезирование зубов в Днепре
Выполняем восстановление зубного ряда с помощью протезов, накладок и других решений, выбранных индивидуально.
Если вам нужно протезирование зубов в Днепре, обращайтесь в нашу клинику. Мы подберем оптимальное решение с учетом вашего здоровья и бюджета.
Ортопедия – ключевое направление стоматологии, направленное на восстановление зубного ряда. Это не только установка разных протезов, но и использование накладок и других технологий для восстановления одного или нескольких зубов.

Александр
Главный врач
При возможности врачи предпочитают устанавливать в Днепре несъемные зубные протезы, используя один из следующих вариантов:
- коронка – полностью восстанавливает внешний вид и функцию зуба, даже если остались только корни.
- вкладка – используется для восстановления поврежденной части зуба при сколе или после лечения кариеса.
- винир – тонкая фарфоровая пластина, которая наклеивается на эмаль для эстетического и функционального улучшения.
- штифты – используются при сохраненном корне и запломбированных каналах, обеспечивая прочность будущего протеза.
- мостовидные протезы применяются при потере нескольких зубов подряд, фиксируются на здоровые зубы или коронки.
- имплантаты – состоят из титанового корня и протеза, полностью имитирующего натуральный зуб по форме, цвету и функции.

Какая цена на протез зуба
Причины потери зубов могут быть разнообразными – от детских травм до возрастных изменений. В этой связи цены на протезирование зубов в Днепре варьируются в зависимости от типа протеза, который делится на два основных: несъемный; съемный.
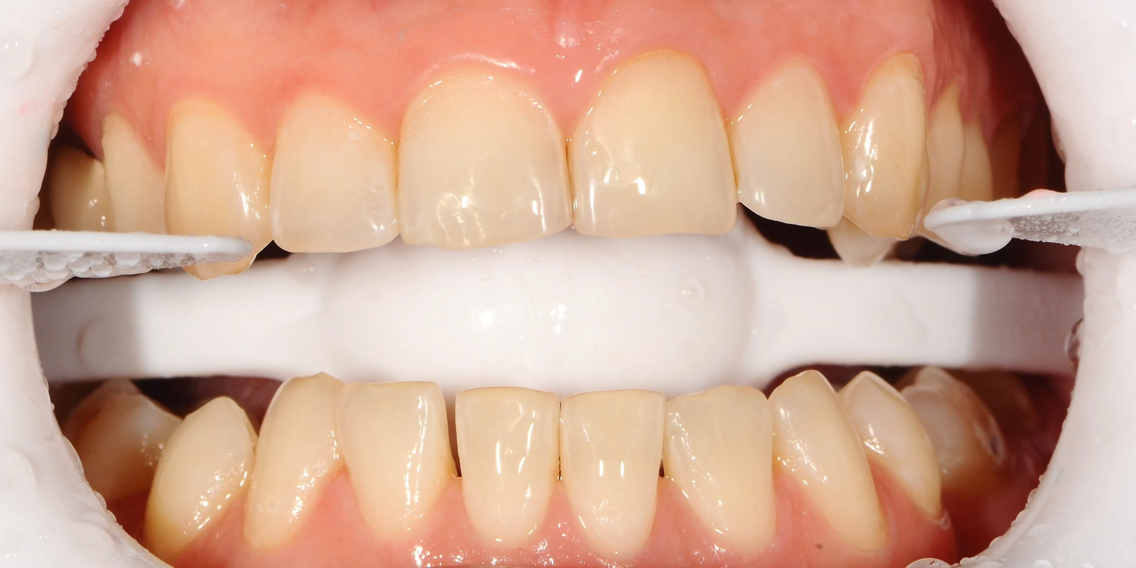
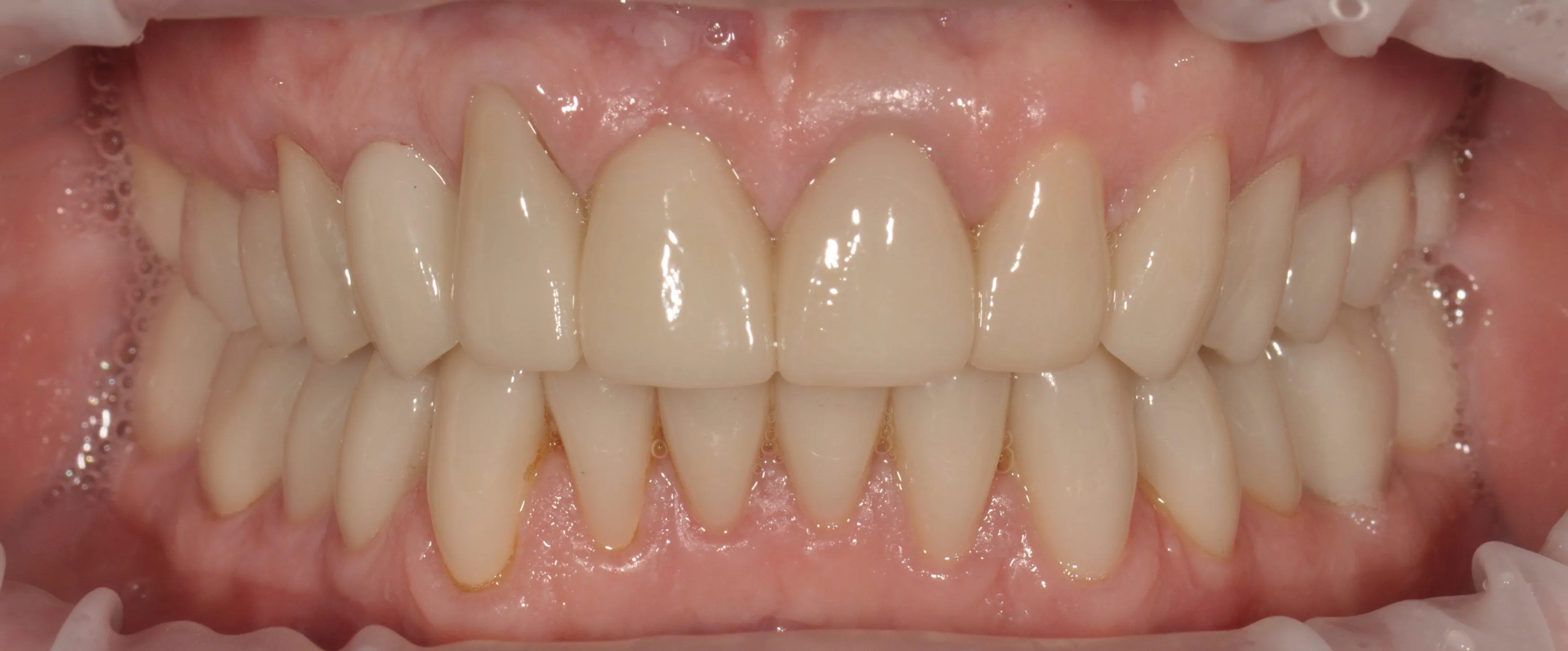
Посмотрите на результаты нашей работы — улыбки, которые мы восстанавливаем с заботой и профессионализмом. Каждое фото — это история восстановления здоровья и уверенности наших пациентов.
Мы гордимся нашими достижениями и сертификатами, которые подтверждают высокий уровень профессионализма и качества наших услуг. Эти награды — результат нашей работы и стремления к совершенству.








Большое спасибо за лечение зубов без боли! Вы просто супер! Всегда все быстро и качественно. Хочу отметить доктора Фираса и Александра Павловича - все на высшем уровне.
Одним словом СУПЕР 🔥 Стоматология от профилактики до хирургии. Всей семьёй ездим к Александру лечить зубы. Карина супермастер чистки зубов, дочка ходит только к ней. Ортодонт Валентина спасла дочке прикус, теперь улыбка голливудская 😊 Обслуживание космос, индивидуальный подход для них не просто слово. Моя боязнь стоматологов потихоньку отступила после знакомства с этой стоматологией. Рекомендую эту стоматологию!!!
Всегда напоминают о предстоящей процедуре смс сообщением. Манипуляции выполняются качественно, оговариваются все этапы. Пломбы выглядят натурально, коронки сели идеально! Хотела ставить виниры, но доктор предложил сделать отбеливание - зубы на три тона стали светлее! Большое спасибо доктору Фирасу за мою здоровую и красивую улыбку!
Уже не первый год лечусь в Smartclinic, а именно у Александра Павловича. Все всегда на высшем уровне. Спасибо большое)
Внимательные, профессиональные врачи. Прием по записи, всё точно по времени. Отношение к пациентам на высшем уровне. Есть специалисты узких направлений. Сама клиника небольшая, очень чисто. Современное оборудование и подход к лечению. Выслушав все рекомендации, выбор и принятие решения остается за вами. Долго выбирала, куда обратиться с проблемой. Выбор был сделан, о чем не жалею. Рекомендую, если вы ищете нормальный поход к зубным проблемам.
Качественная современная стоматология и квалифицированные люди, рекомендую всем!
Долго выбирали клинику. Первое посещение и выбор сделан в пользу Smart Clinic, профессионального доктора и персонала. Результатом работы довольны все- и я, и врачи. Своим знакомым рекомендую только Вас.
Отличная клиника, замечательные доктора! Всегда на 100% уверена в результате. Доктор Александр спас мой зуб от удаления, всегда чувствую заботу с его стороны и со стороны помощников. Спасибо за профессионализм и за отношение к пациентам! Вы - лучшие!
Спасибо докторам и ассистентам за профессионализм и доброе отношение!) Отдельное спасибо администратору за всегда позитивный настрой и улыбку) Место где перестаёшь бояться стоматологов.
Профессиональный подход, качественное выполнение, аккуратно, безболезненно. Благодарна не первый год! Процветания!
отличная клиника !!! очень профессионально и они делают отличную работу
Буквально вчера пломбировал зубы в smart clinic ребята знают свое дело ...выполнили все идеально, качественно) Врач говорит и предупреждает о каждом этапе процедуры...под анестезией вообще ничего не почувствовал ...получилось даже на секунду заснуть) Спасибо большое) 👍
Очень благодарен работникам Smart Clinic за мою улыбку, за возможность полноценно жить. Высокий профессионализм, доброе и ответственное отношение. Большое спасибо!
Клиника просто супер как для взрослых так и для детей !!! Ребята вы профессионалы своего дела
Александр Павлович вызвал доверие с первого взгляда.В процессе лечения первое впечатление перешло в твердое убеждение,что врач лучший из лучших.Хочется отметить Карину,прекрасный человек с добрым сердцем и чистой душой. Прийдя к Вам уже не будешь искать других врачей. Огромное спасибо,что Вы у нас есть!
Последний год мы с мужем лечим зубы только здесь. Опыт общения был с двумя врачами - Александром Павловичем и Дмитрием Игоревичем. И всегда все ок. Никогда нет плохого настроения, всегда вежливые и внимательные. Ну и будем надеяться, что качественно делают свою работу. Опыт общения пока год. С пломбами, да и в целом с зубами все ок. Муж также обращался с болями в зубах и деснах, и что примечательно, Александр Павлович не спешит тебе пломбировать зубы, ставить коронки или рвать(хотя, как я понимаю, он хирург и у него должно быть это в крови:) ), а внимательно осматривают и ищут причину боли. Я бы также отметила Карину, которая является душой стоматологии, всегда весёлая и энергичная. Я очень надеюсь, что не придется менять стоматологию. По ценам - не знаю, дорого или нет. До этого лечились в Кировограде. Было дёшево и максимально некачественно. Смело рекомендую ребят.
SmartClinic - огромное спасибо за то что вы есть такие какие вы есть! Ответственные, качественные, обходительные. Приходить к вам в клинику было действительно удовольствием! Привезла всю семью лечить здесь зубы. Муж в восторге! Имплантант был сделан на высшем уровне. Все страхи по поводу это процесса оказались вымыслом. Спасибо Александру Павловичу и Карине, вы замечательные!
Smartclinic я Вас ❤❤❤ Вы мне подарили новую белоснежную и здоровую улыбку 😁😁😁 Профессионалы высшего уровня, первоклассный сервис, современные технологии, своеобразный подход к каждому пациенту, гибкий график, удобные кресла и уютная обстановка - это все к ним!!! Получать удовольствие от похода к стоматологу это реально, и очень круто!!! Консультация круглосуточно - это тоже реальность!!! Спасибо Вам огромное за бесценный труд и золотые руки, за позитив и отношение😍😍😍 Smartclinic это любовь ❤❤❤ Р.S. 9 мая 2019 самый прекрасный день благодаря Александру Павловичу и Карине❤❤❤
Сказать что я осталась очень довольна,это ничего не сказать. Обслуживание на высшем уровне! При лечении можно забыть о болях, о страхах и ещё уснуть в лежачем положении. Я лечила и протезировала 15 зубов. Работа проделана очень большая, а результат потрясающий! Мой лечащий врач Александр Павлович. Ему огромное спасибо за красоту! Он врач от бога!
Все было сделано профессионально, приветливо и вовсе не страшно!
Очень профессиональный врач. Исправил то, что к нему "наделали" в другой клинике. Лечить зубы теперь буду только в этой клинике. И могу ее смело рекомендовать друзьям и знакомым.
Замечательные врачи, Дмитрий Игоревич и Александр Павлович, не только вылечили кариес, но и сделали сложную операцию по закрытию свища в пазуху гаймора, поставили зубной протез, и даже вылечили от гайморита. И девушки приятны. Цены доступны. Очень советую обращаться сюда.
Александр Павлович настоящий Виртуоз! К каждому зубу относилась трепетно, и с педантичной тщательностью воссоздавал их форму.
Спасибо, теперь я ваш постоянный клиент. Александр, спасибо! Теперь лечение зубов не вызывает у меня нервный тик :) все аккуратно, хорошо, буду вас советовать. И цены у вас очень демократичные для такого уровня обслуживания
Сервис на высшем уровне. Открытая ценовая политика. Приветливые и заботливые профессиональные доктора.
Наши клиенты часто спрашивают нас
В этом разделе мы собрали ответы на самые популярные вопросы, чтобы помочь вам разобраться во всех подробностях. Если у вас останутся вопросы, мы всегда готовы лично вас проконсультировать!
Отсутствие одного зуба не только негативно влияет на внешний вид человека, но и ведет к необратимым изменениям зубочелюстной системы, таким как деформации зубного ряда, челюстей, а иногда и к заболеваниям височно-нижнечелюстного сустава.

Наша клиника по праву входит в число лучших стоматологических центров Днепра, что подтверждают многочисленные положительные отзывы пациентов. Мы предлагаем доступные цены, высокий уровень профессионализма врачей и индивидуальный подход. У нас комфортно лечиться всей семьей — мы найдем решение для каждого.
Лучшая стоматологическая клиника Днепра
Доступное протезирование зубов в Днепре
Если вас интересует протезирование зубов в Днепре, обращайтесь в нашу стоматологическую клинику, где вам будет предложен оптимальный вариант восстановления зубного ряда, соответствующий вашему конкретному случаю относительно здоровья, а также исходя из финансовых возможностей.
Ортопедия — важный раздел стоматологии, включающий целый комплекс мер по восстановлению целостности зубного ряда. Под этим подразумевается не только установка разного вида протезов, но и применение специальных накладок и других приспособлений, помогающих восстановить одну или несколько единиц — в зависимости от каждого конкретного случая.
Какая на протез зуба цена в Днепре
Причины потери одной либо нескольких зубных единиц могут быть разными — от случайного удара во время спортивных состязаний в юном возрасте до естественных изменений — в пожилом. Соответственно, на протезирование зубов цены в Днепре колеблются в зависимости от протеза, который делится на два основных типа:
- несъемный;
- съемный.
Если позволяет ситуация, каждый врач старается поставить протез зуба в Днепре несъемного типа, что подразумевает установку одной из следующих конструкций:
- коронка — способна полностью восстановить эстетичный вид и функциональность зуба, даже если от него остался лишь один корень;
- вкладка — позволяет восстановить часть зуба, если произошел скол либо было проведено лечение кариеса, повлекшее те же последствия;
- винир — специальная тонкая пластина из прочного фарфора, применяемая с целью достижения визуального и практического эффекта — после наклеивания закрывает поврежденную поверхность эмали;
- штифты — устанавливаются при условии сохранения корня и пломбировании его каналов, необходимы для прочности нового зубного протеза;
- мостовидные протезы — применяются в случае утери нескольких зубных единиц подряд, могут устанавливаться на здоровые зубы либо закрытые коронками;
- имплантаты — состоят из прочной титановой основы, выполняющей роль отсутствующего корня, и самого протеза — полностью идентичного по форме, цвету и функциональным возможностям здоровому зубу.



