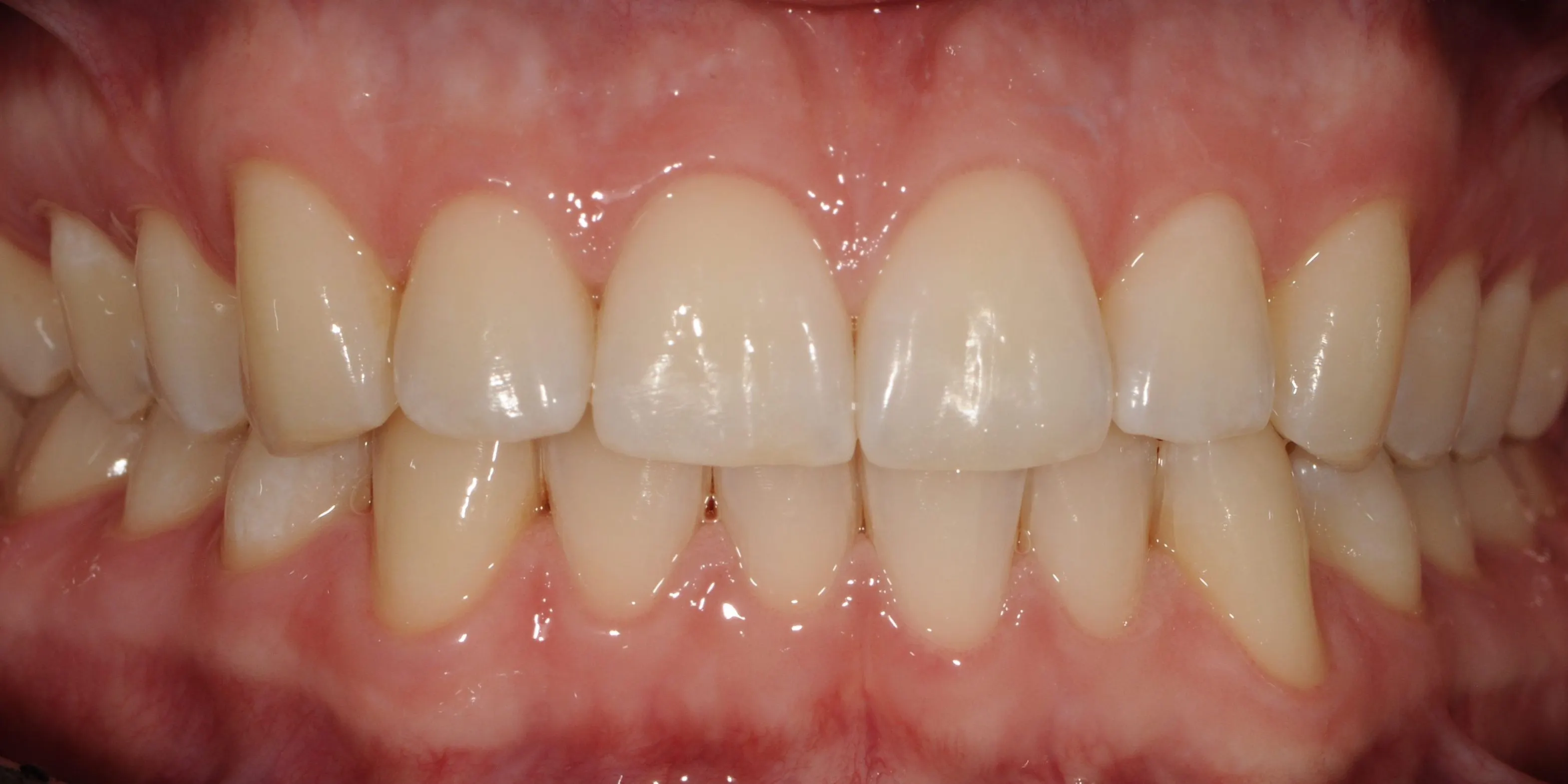
Посмотрите на результаты нашей работы — улыбки, которые мы восстанавливаем с заботой и профессионализмом. Каждое фото — это история восстановления здоровья и уверенности наших пациентов.

Консультация и диагностика

Обзор стоматолога и обсуждение желаемого результата.