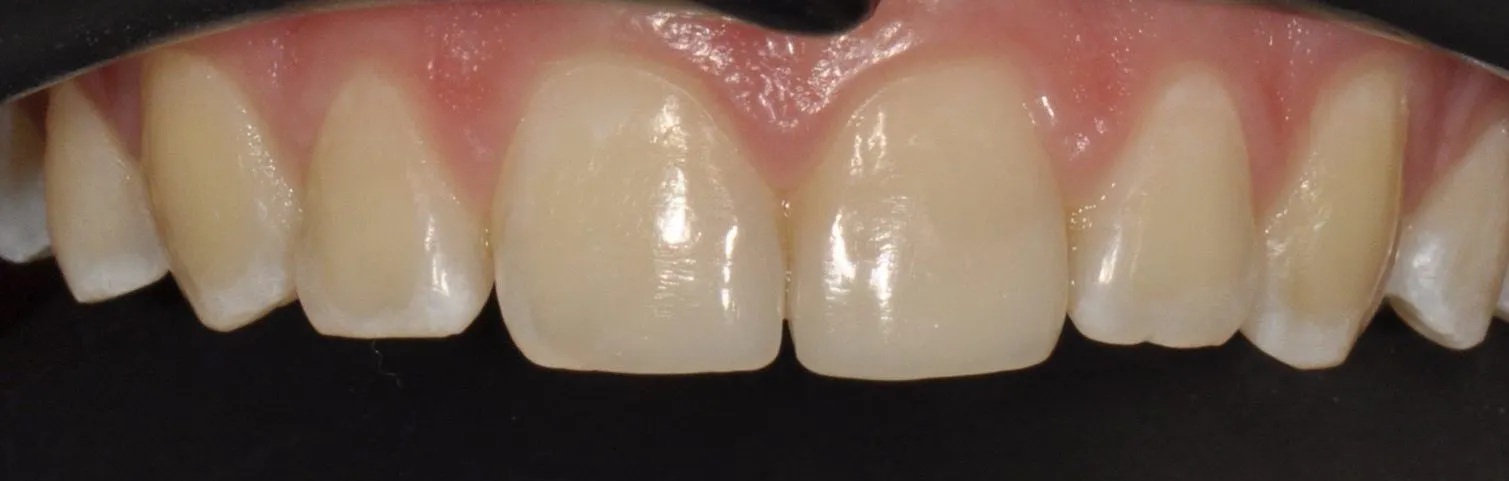
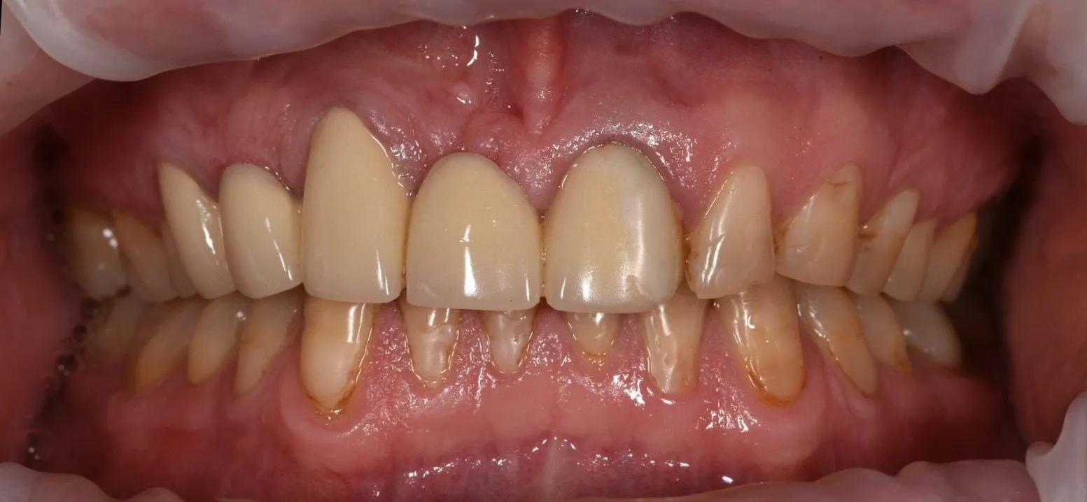
Подивіться на результати нашої роботи — посмішки, які ми відновлюємо із турботою та професіоналізмом. Кожне фото – це історія відновлення здоров'я та впевненості наших пацієнтів.

Консультація та діагностика
Огляд стоматологом та обговорення бажаного результату.
Рентген та цифрове сканування зубів для оцінки стану ротової порожнини.
Вибір матеріалу та типу вінірів.

Рентген та цифрове сканування зубів для оцінки стану ротової порожнини.
Вибір матеріалу та типу вінірів.